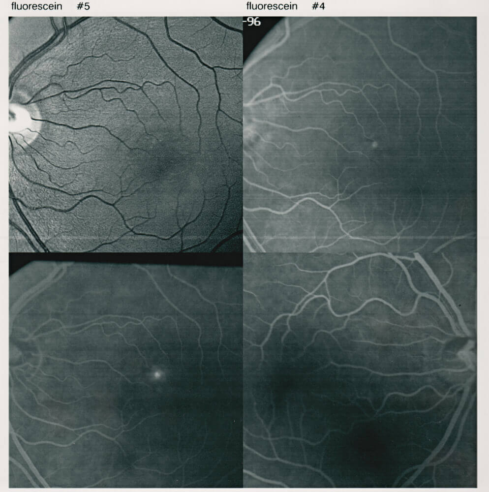
Central serous chorioretinopathy is a medical condition where fluid builds up behind the retina. It can cause sudden or gradual vision loss. The fluid comes from a layer of tissue under the retina, called the choroid. The layer of cells between the retina and choroid is called the retinal pigment epithelium (RPE). When the RPE does not work as it should, fluid can build up under the retina, resulting in visual distortion.


Comparison between a normal retina (left) and eye with Central Serous Chorioretinopathy (right)
Symptoms of central serous chorioretinopathy can include:
Men in their 30s to 50s are more likely to develop central serous chorioretinopathy than women. Stress is a major risk factor. People under a lot of stress may be more likely to develop the condition.
Most cases of central serous chorioretinopathy clear up in one or two months without the need for any treatment. During this time, your Mann Eye ophthalmologist will examine your eye to see if the liquid is going away.
Sometimes, there is significant vision loss or the fluid does not go away. In these cases, laser treatment, photodynamic therapy or oral medications may be used.
About half of patients who have had central serous chorioretinopathy will deal with it again. For this reason, it is important to have regular follow-up exams with a Mann Eye retina specialist.
The Mann Eye Institute is a leading eye care facility with sixteen locations in Humble, West Humble, Houston, Central Austin, North Austin, Sugar Land, Katy, Spring, The Woodlands, Livingston, Bay City, Pearland, Baytown, Tomball, Sun City, and Cleveland, Texas. With various locations in the Houston and Austin areas we can provide the full continuum of care, including; designer eyewear and eye care needs, LASIK eye surgery, cataract surgery, premium lens implants and dry eye treatment options. If you are seeking expert eye doctors in Texas contact us today!
The Woodlands Office
Medical Arts Center III
17450 St. Luke’s Way, Suite 100
The Woodlands, TX 77384
(281) 367-2010
Pearland Office
10223 Broadway St., Ste. J
Pearland, TX 77584
(281) 971-9332
Spring Office
2616 FM 2920 Ste. I
Spring, TX 77388
(281) 353-8300
Tomball Office
14079 FM 2920
Tomball, TX 77377
(346) 701-4029
Katy Office
750 Westgreen Blvd.
Katy, TX 77450
(281) 392-3937
Humble - Deerbrook Office
9802 FM 1960 W, Ste. 110
Humble, Texas 77338
(281) 446-9333
Sugar Land Office
6424 E. Riverpark Dr.
Sugar Land, TX 77479
(713) 580-2525
Humble - S. Memorial Office
18850 S. Memorial Blvd.
Humble, TX 77338
(281) 446-7900
Livingston Office
1601 US-59 Loop North, Ste. 100
Livingston, Texas 77351
(936) 327-3937
Cleveland Office
429 West Southline
Cleveland, TX 77327
(281) 592-4343
Bay City Office
3612 Avenue F
Bay City, TX 77414
(979) 244-1450
Baytown Office
4750 East Freeway
Baytown, TX 77521
(281) 421-2020
South Austin Office
2600 Via Fortuna, Ste. 400
Austin, TX 78746
(512) 327-4123
North Austin Office
4314 W. Braker Lane Ste. 215
Austin, TX 78759
(512) 200-3937
Sun City Office
1530 Sun City Blvd., Ste. 150
Georgetown, TX 78633
(512) 327-3792